Bioclear Complete Posterior Composite Course
Bioclear Complete Posterior Composite Course
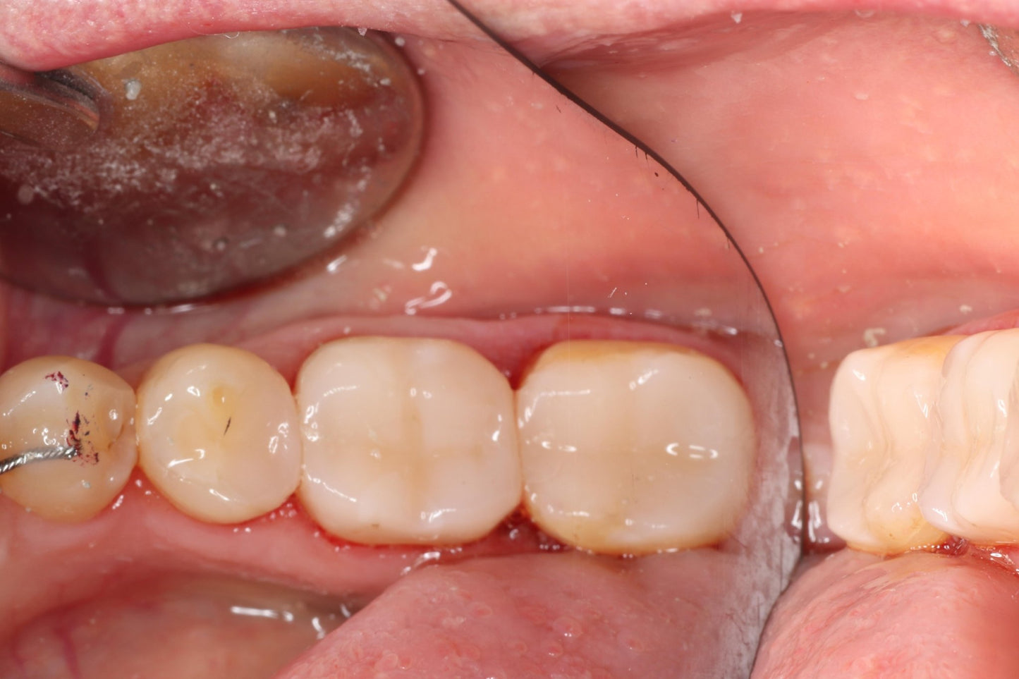
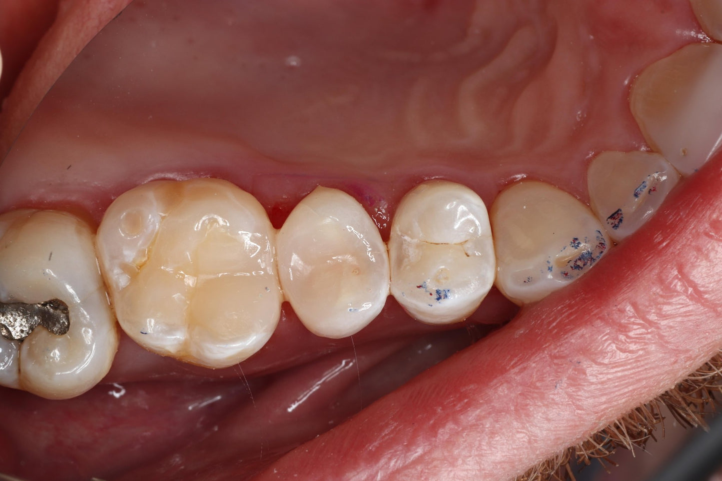
Bioclear transforms posterior treatments, providing solutions for everything from routine Class II restorations to complex cases like cracked teeth, direct cuspal protection, and deep subgingival caries. By integrating non-retentive, compression-based engineering with Bioclear products and injection moulding, it delivers predictable results, precise contacts, outstanding aesthetics, and long-lasting durability.
This comprehensive 2-day course provides a solid foundation in the Bioclear Method, focusing on mastering posterior restorations and the Five Pillars for predictable, durable results.
With hands-on training on lifelike soft tissue models, participants will practice a variety of restoration techniques, from basic to advanced, including:
· Modern Cavity Preparation Principles: Transitioning from outdated alloys to non-retentive, compression-based designs.
· Marginal Design: Eliminating white lines and visible margins in composite restorations.
· Class II Restorations: Achieving optimal contact points and floss-friendly embrasures.
· Quadrant Strategies: Streamlining multiple restorations with consistent contact point formation.
· Calla Lily Preparation: Reinforcing teeth and managing cracks with innovative design.
· Selective Caries Removal: Utilizing the Modified Hall Technique.
· Cuspal Protection: Crafting direct onlays/overlays for fractured cusps or endodontically treated teeth.
· Deep Margin Techniques: Restoring teeth with subgingival bone-level caries.
Using HeatSync heaters, 3M Filtek One Bulk Fill composite, and Bioclear Evolve matrices, delegates will gain the skills and confidence needed to achieve consistent, exceptional posterior restorations.
.
Expand Your Skills with Bioclear’s Complete Training Program:
Looking to broaden your expertise? Pair your posterior restoration skills with our Anterior Restorations Course or start your journey with our Introductory Composite Course:
🔗 Explore our Posterior Course
🔗 Discover the Introductory Course





