Bioclear Complete Anterior Composite Course
Bioclear Complete Anterior Composite Course
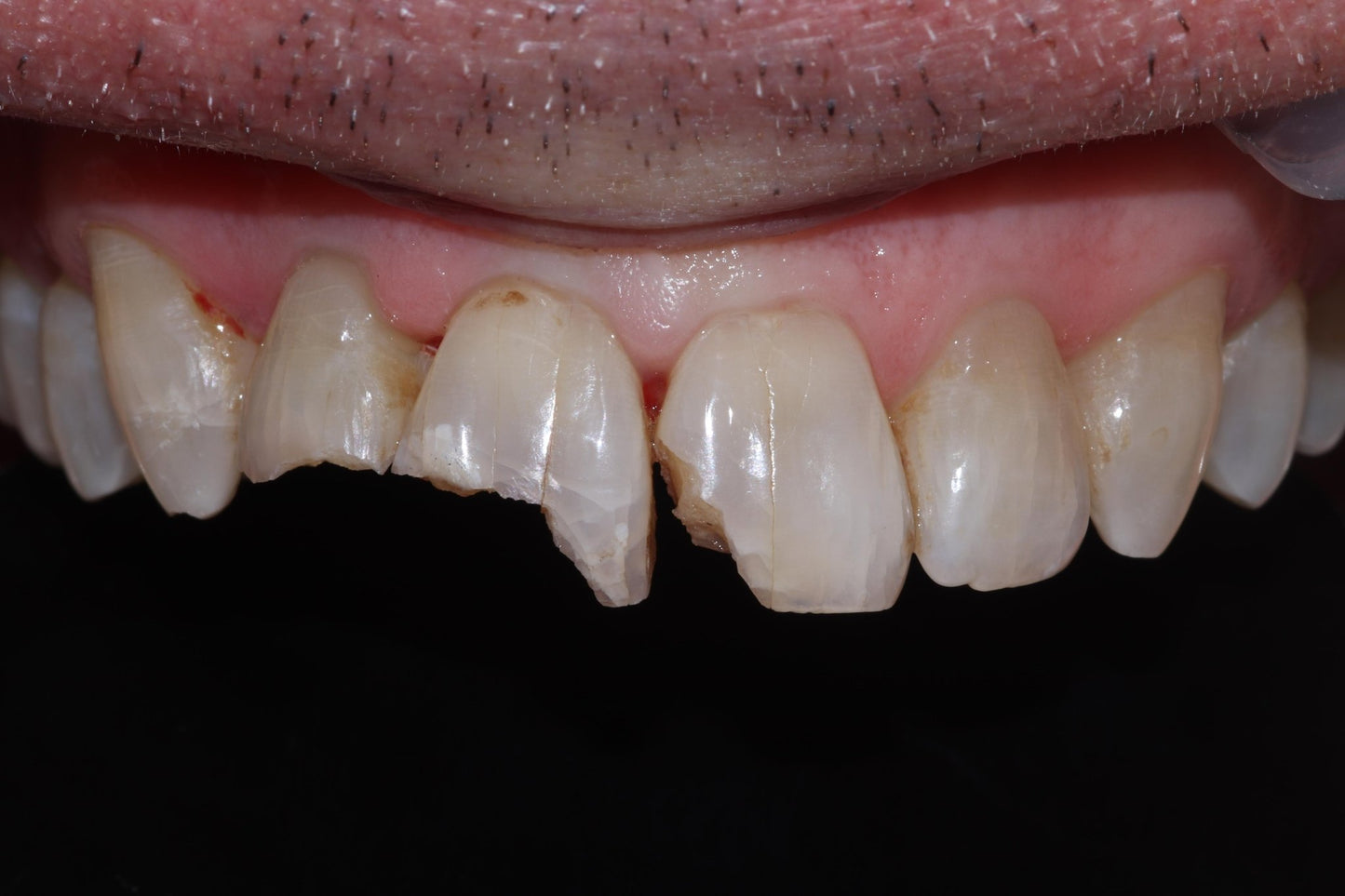
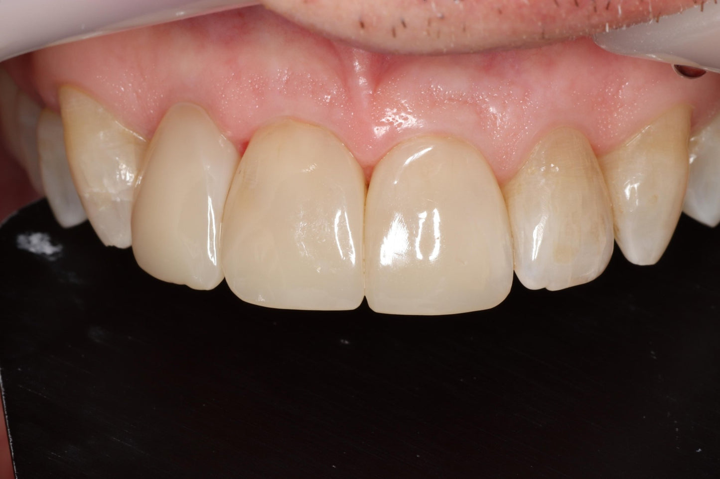
Bioclear revolutionizes anterior treatments, addressing everything from routine restorations to complex cases such as black triangles, fractured teeth, space closures, and undersized teeth. It enables minimally invasive, additive dentistry with predictable outcomes, precise morphology, exceptional aesthetics, and long-lasting durability.
This comprehensive 2 day course provides a strong foundation in the Bioclear Method, covering the full spectrum of anterior restorations and products. Delegates master the Five Pillars of the Bioclear Method, key to achieving predictable and durable results. Through intensive hands-on exercises with lifelike soft tissue models, participants will practice a range of restorations, including:
· Deep Class III restorations,
· Black Triangle closures (simple and complex with Root Overlays),
· Building undersized teeth with space or diastema closure management
· Restore fractured incisors and treat rotated teeth with "instant ortho"
· Restore the maxillary anterior sextant with direct veneers - a great alternative to porcelain crowns or veneers.
· Treatment planning incorporating smile design, tooth form, and arch form to achieve a pleasing appearance
· Restoring teeth with large fractures
· Creating cosmetic direct veneers with smile design – a great alternative to porcelain crowns or veneers.
With HeatSync heaters, 3M Filtek Supreme XTE composites, and various Bioclear matrices, delegates will develop the skills and confidence necessary for outstanding anterior restorations.
What You’ll Learn:
- Cavity Design: Master the infinity edge margin for seamless restorations.
- Matrix Selection: Learn to select and place Bioclear matrices for precise anatomical results.
- Injection Moulding Technique: Create strong durable restorations efficiently.
- Rock Star 2-Step Polish: Achieve a high-gloss finish for anterior restorations.
-
Specific Procedures:
o Anterior deep Class III caries
o Black Triangle treatment and Root Overlay
o Peg lateral and diastema closure techniques
o Direct composite veneers from canine to canine. - Treatment Planning: Develop comprehensive strategies for smile design and complex cases.
Why Choose Bioclear for Anterior Restorations?
Bioclear’s innovative approach ensures patient satisfaction by delivering durable, aesthetic results while preserving natural tooth structure. Transition from traditional porcelain crowns and veneers to direct composite solutions that are cost-effective and efficient.
What Equipment You Will Use During the Course?
Gain hands-on experience with cutting-edge tools and materials designed to perfect your anterior restorations. During the course, you’ll work with.
- Bioclear Anterior Matrices: Anatomically shaped for precise adaptation and interdental anatomy
- Bioclear Black Triangle Matrix: Revolutionize black triangle and space closure with the correct selections and placement of anatomical black triangle matrices.
- TruContact Saws and Sanders: Ensure proper contact adjustment and eliminate false contacts efficiently.
- Injection Moulding System: Master Bioclear’s minimally invasive addative method to create seamless, durable restorations with 3M Filtek materials
- Rock Star 2-Step Polish Kit: Achieve a stunning, high-gloss finish for anterior teeth using Bioclear Magic Mix and the "Rock Star Polishers"
- Composite Materials: Hands-on Injection moulding 3M Filtek heated composite for superior aesthetic outcomes and polish retention.
- Blasting Equipment: Prepare teeth for adhesion with gentle, thorough biofilm removal.
This comprehensive toolkit ensures you leave the course equipped with the skills and confidence to integrate these techniques seamlessly into your practice.
Expand Your Skills with Bioclear’s Complete Training Program:
Looking to broaden your expertise? Pair your anterior restoration skills with our Posterior Restorations Course or start your journey with our Introductory Composite Course:
🔗 Explore our Posterior Course
🔗 Discover the Introductory Course








