Direct Cuspal Protection
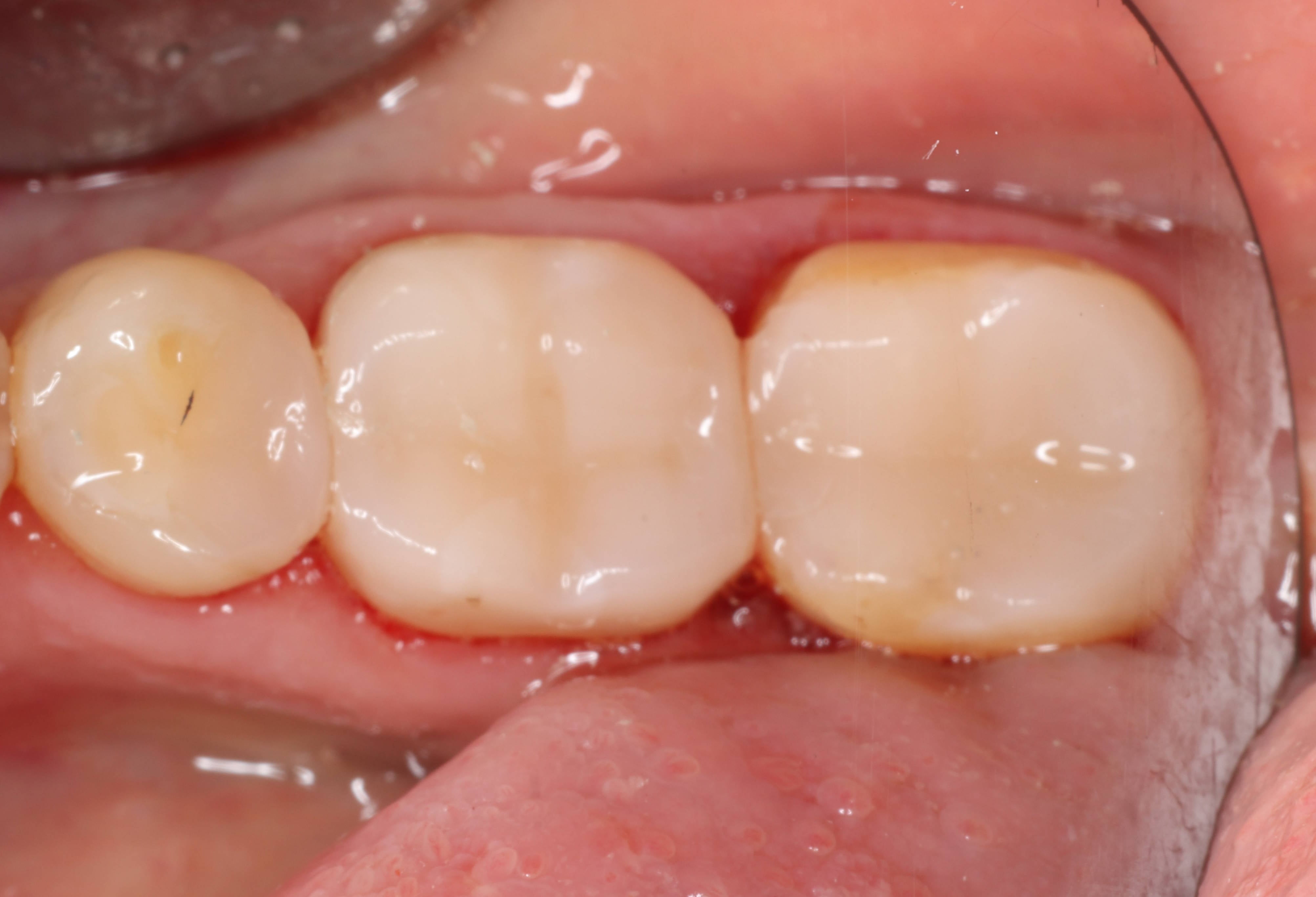
Tooth fractures remain a leading cause of tooth loss worldwide, despite advancements in adhesive bonding. Additionally, cuspal protection is often required for heavily restored or endodontically treated teeth. Traditional solutions typically rely on indirect options such as crowns or onlays.
The Bioclear Method offers a direct alternative with less preparation, single-visit treatment, reduced chair time, lower costs for patients, and increased practice revenue. These restorations can match the longevity and success of indirect options.
By combining modern cavity preparation, heat injection moulding, and Evolve anatomical matrices, Bioclear enables predictable and durable direct cuspal restorations, known as Bioclear Overlays.
This approach can deliver precise morphology, minimal finishing, exceptional aesthetics, and long-lasting durability; transforming the treatment of posterior tooth fractures and heavily filled or endodontically treated teeth.
Direct Bioclear Onlay/Overlay

