Articles

Minimally Invasive Cosmetic Restoration with Op...
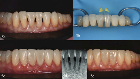
Read the full article here Minimally Invasive Treatment of Open Gingival Embrasures (Black Triangles) Overview:This article explores how black triangles—caused by open gingival embrasures—can be managed conservatively using direct composite restorations...
Minimally Invasive Cosmetic Restoration with Op...
Read the full article here Minimally Invasive Treatment of Open Gingival Embrasures (Black Triangles) Overview:This article explores how black triangles—caused by open gingival embrasures—can be managed conservatively using direct composite restorations...
Dental Update Posterior article By Dr Burgess a...
The Bioclear Method in Posterior Restorations: Modern Techniques for Better Outcomes Download the full article: Click here to download (PDF) Context: Posterior composite restorations are increasingly common as amalgam use...
Dental Update Posterior article By Dr Burgess a...
The Bioclear Method in Posterior Restorations: Modern Techniques for Better Outcomes Download the full article: Click here to download (PDF) Context: Posterior composite restorations are increasingly common as amalgam use...