
Minimally Invasive Cosmetic Restoration with Open Gingival Embrasures Compressed
Share
Minimally Invasive Treatment of Open Gingival Embrasures (Black Triangles)
Overview:
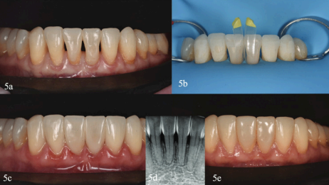
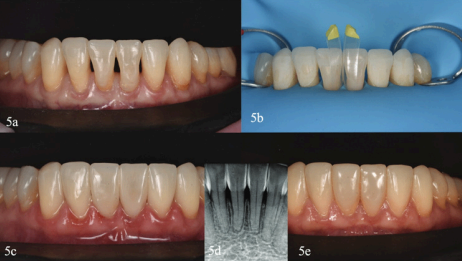
This article explores how black triangles—caused by open gingival embrasures—can be managed conservatively using direct composite restorations with the Bioclear Method. These spaces are often a cosmetic concern for patients, particularly post-orthodontics or in periodontally compromised cases.
Why Address Black Triangles?
- Affect up to 67% of adult ortho patients post-treatment
- Third most disliked aesthetic concern (after visible caries and crown margins)
- Can impact phonetics, trap food, and cause perceived aging of the smile
Key Advantages of the Bioclear Method for Black Triangle Closure
- Non-invasive: No prep needed—ideal for preserving enamel
- Minimally visible margins: No ledges or overhangs
- Smooth emergence profiles: Promotes gingival health
- Highly aesthetic: Natural contours and color blending
Technique Summary: Bioclear Black Triangle Protocol
1. Diagnosis & Assessment
- Evaluate tooth alignment and papilla height
- Use Bioclear gauge to measure triangle size and select appropriate matrix
2. Isolation
- Heavy rubber dam placement for moisture control and retraction
3. Biofilm Removal
- Disclose with two-tone solution
- Remove biofilm via air abrasion (e.g., aluminium trihydroxide)
4. Matrix Selection & Placement
- Use colour-coded black triangle matrices for tailored emergence profile
- Matrices are scalloped to minimize interproximal finishing
5. Composite Injection Moulding
- Etch (total etch recommended), bond with 3M Scotchbond Universal Plus
- Apply flowable to internal line angles, then overfill with warmed paste composite
- Cure and shape before removing the matrix
6. Polishing
- Follow 3-step Bioclear polish:
- Shofu Brownie
- Magic Mix
- SS White Jazz polisher
Clinical Considerations
- Tooth alignment: Bioclear matrices work best with well-aligned teeth
- Ortho & perio patients: Great option post-ortho or for periodontally stable patients with open embrasures
- Composite choice: Use matched body shade (e.g., 3M Filtek Supreme XTE) for optimal blending
Longevity & Follow-Up
- Minimal maintenance required—polish at 12–18 month reviews if needed
- Long-term studies and clinical experience suggest excellent stability and aesthetic retention
Conclusion
The Bioclear Method allows clinicians to conservatively manage black triangles with predictable, aesthetic, and durable results—without the need for indirect restorations or soft tissue grafting. For patients, it offers a quick and effective cosmetic fix; for clinicians, it’s a repeatable, minimally invasive solution with high patient satisfaction.