Introduction to Bioclear Composites - Glasgow Friday 27th February 2026
Introduction to Bioclear Composites - Glasgow Friday 27th February 2026
Course Overview
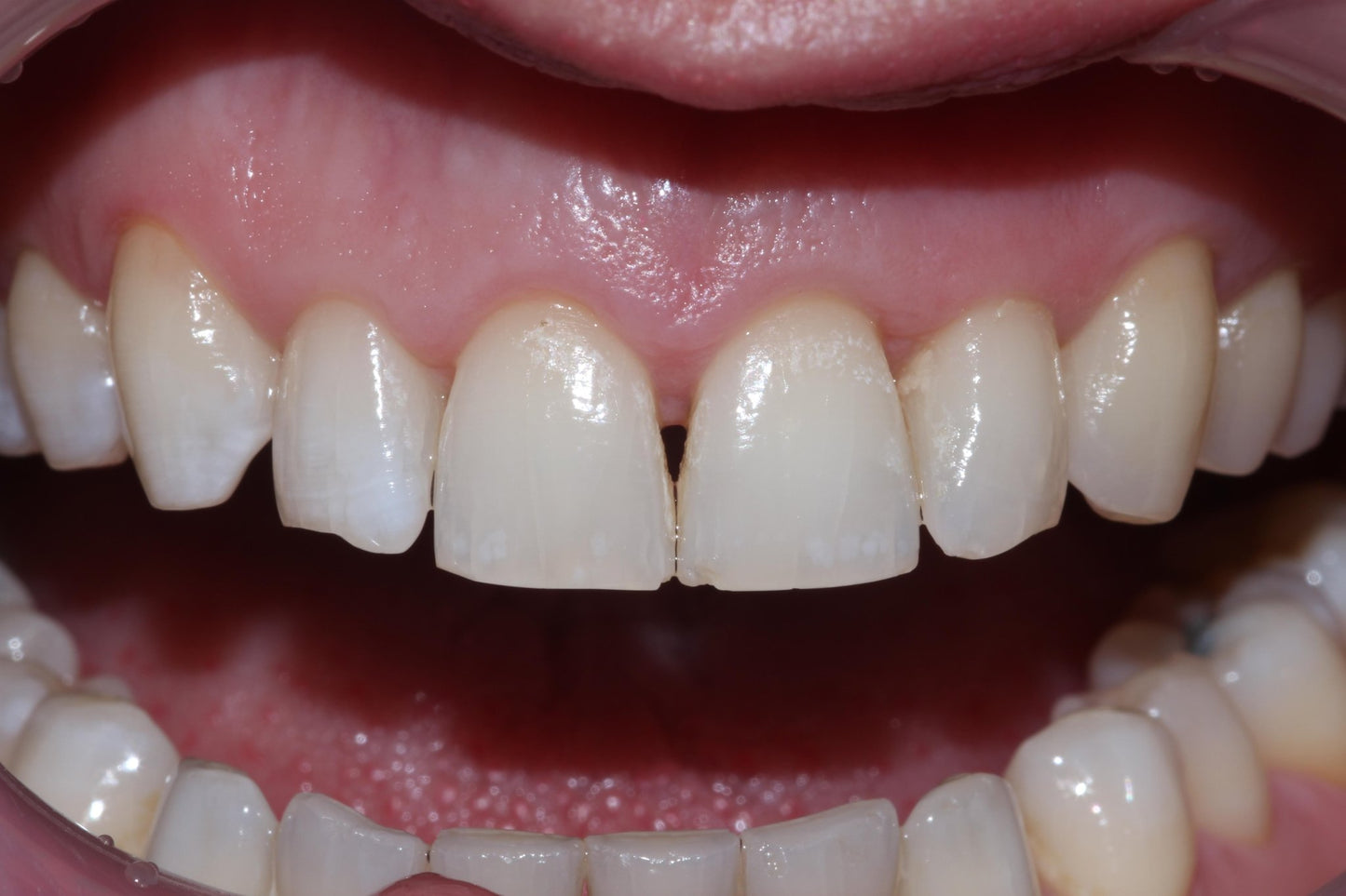
This 7-hour introductory course provides an overview of the five pillars of the Bioclear Method and heated composite injection moulding. Participants will learn the benefits of the Bioclear Method, a structured approach to modern composite dentistry, and gain hands-on experience with techniques for anterior black triangle closure and posterior Class II contact formation on soft-tissue dentoforms.
By the end of the course, attendees will have acquired the foundational skills and understanding needed to begin applying the Bioclear Method in clinical practice. The course features the use of HeatSync heaters, Diamond wedges, Twin Rings, 3M™ Filtek™ Supreme XTE Universal Restorative, 3M™ Filtek™ One Bulk Fill Restorative, 3M™ Filtek™ Supreme Flowable Restorative, 3M™ Filtek™ Bulk Fill Restorative, and various Bioclear Matrices.
Any questions or enquiries? Please email us at support@bioclearmatrix.co.uk
In Association with
Learning Aims, Objectives and Anticipated Outcomes
- Gain a solid understanding of the 5 Pillars of the Bioclear Method.
- Explore the advantages of injection moulding with specialized anatomical black triangle and molar matrices.
- Master the injection moulding technique using warmed 3M Filtek flowable and paste composite materials.
- Practice closing black triangles and creating seamless restorations with invisible margins and a polished finish.
- Learn to avoid common pitfalls in anterior restorations for better outcomes.
- Get hands-on experience with updated modern matrices, wedges, and separators.
- Perform the seven steps for achieving rock-solid Class II restoration contact.
Price | £475+vat (CPDA pending) |
Date | Friday 27th February 2026 830am - 5:30pm |
Location | Glasgow - TBC |
Instructor | Dr Claire Burgess |
Suitable for | Dentists, Therapists |
CPD | 6 hours |
Delegate no. | 30 |
Notes: | Lunch and refreshments included |
Agenda | Click here |
Venue | Click here |
Any questions or enquiries please email us at support@bioclearmatrix.co.uk
GDC Development Outcomes
- A: Improving understanding of direct composite treatment options for patients.
- B: Improved diagnosis and treatment in direct composite dentistry.
-
C: Current concepts in direct composite restorations:
- Bioclear Method
- Biofilm removal
- Monolithic composite restorations
- D: Essential knowledge for predictable direct composite restorations.



