Class II
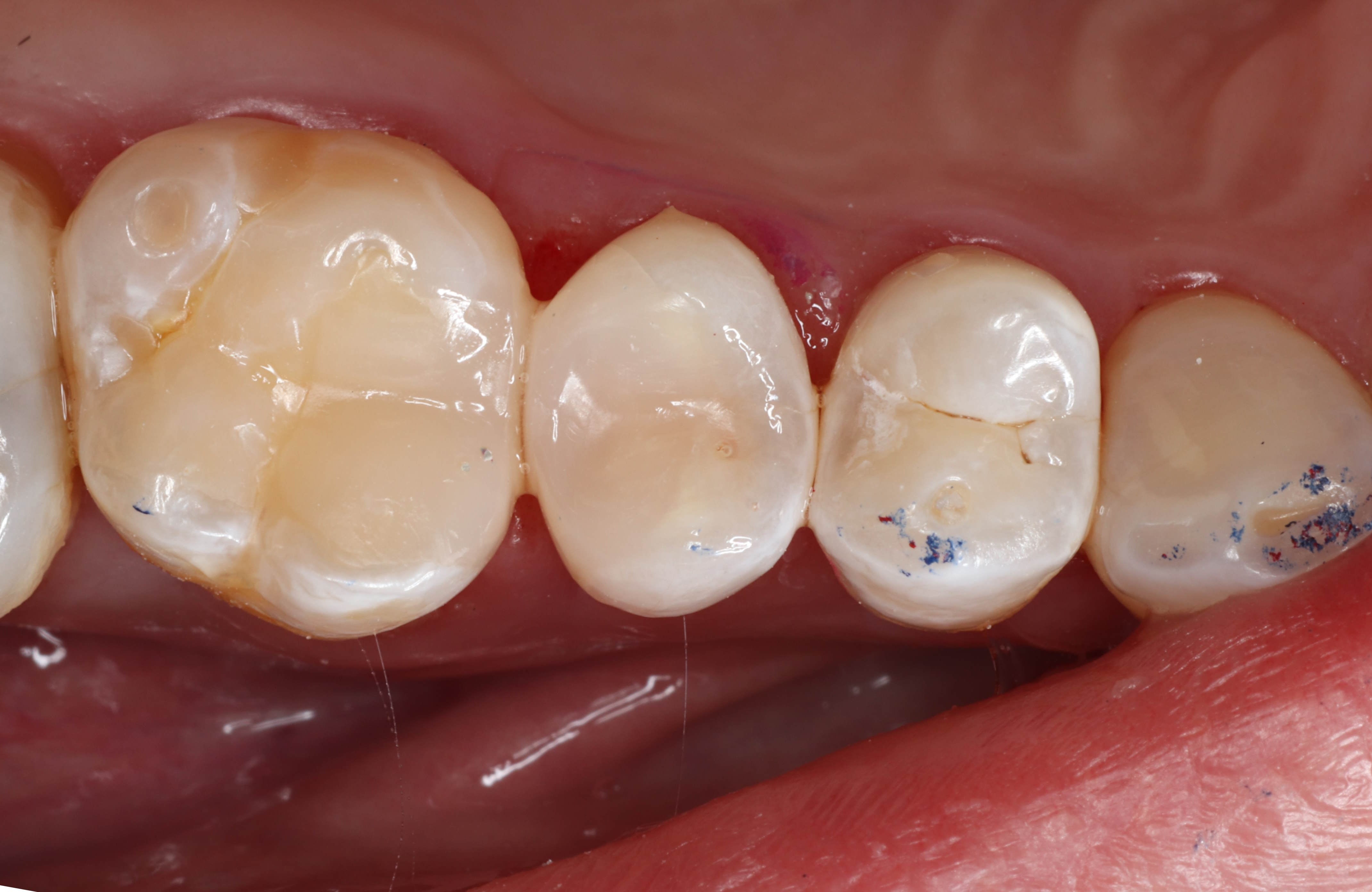
Class II restorations are a major part of dentistry, but up to 70% of dentists report inconsistent contact points, leading to sensitivity, food impaction, and recurrent caries.
The Bioclear Method addresses these issues with specialized protocols and the Evolve Posterior Matrix System. Bioclear's 75-micron Mylar matrices are anatomical, transparent, and designed for optimal morphology, precise contact points, heat injection-moulding, and effective light curing.
Stronger than metal matrices, they feature color-coded tabs for ease selection and placement, support bulk filling, and minimise finishing. The updated design offers 30% more bucco-lingual and occlusal wrap, accommodating cavities from shallow caries to deep bone-level cases, providing a reliable solution for Class II restorations.
Class II

