
Treatment of the dreaded black triangle: a case report and an introduction to injection moulded composite dentistry
Share
Author: Dr. David Clark
Date: October 2022
Download the full article: Click here to download (PDF)
Introduction
Black triangles, or open gingival embrasures, are a common aesthetic and functional concern. Historically, options like veneers, crowns, or interproximal reduction (IPR) have been used, but they are often invasive. This article presents a minimally invasive solution using injection-moulded composite dentistry and the Bioclear Method.
Causes of Black Triangles
Common contributing factors include:
- Reduced interproximal bone height due to periodontal disease or surgery
- Gingival papilla loss and excessive embrasure spacing
- Thin biotype and aging-related changes
- Tooth angulation changes from orthodontic treatment
Innovative Solution: Bioclear Injection-Moulded Composite
What Is the Bioclear Method?
The Bioclear Method is a modern restorative approach using anatomical matrices and warm composite techniques to deliver predictable, strong, and aesthetic outcomes. It is particularly effective in treating black triangles and worn anterior teeth.
The Five Pillars of the Bioclear Method
Bioclear is based on five essential elements:
- Biofilm removal for improved bonding
- Optimized prep design based on adhesion principles
- Matrix selection to support ideal contours
- Heated injection moulding for improved composite flow and adaptation
- Rockstar polishing to enhance durability and aesthetics
Why Heated Injection Moulding Matters
Warming composite improves adaptation, strength, and eliminates voids. The Bioclear Method uses this technique with transparent matrices to create seamless, long-lasting restorations.
Tools That Support the Bioclear System
The Bioclear system includes HeatSync composite warmers, Evolve Matrix kits, Diamond Wedges, and finishing tools like Magic Mix and Rockstar Polishers—ensuring repeatable clinical results.
Clinical Results and Patient Satisfaction
Practitioners globally report improved aesthetics, functional outcomes, and patient satisfaction. The minimally invasive nature of the technique preserves natural tooth structure while achieving impressive results.
Learn more about the Bioclear Method
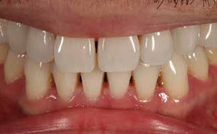
Case Study: Aesthetic and Functional Success
This case involved Bioclear injection overmoulding on the four maxillary incisors to treat black triangles. The results included:
- Closure of black triangles with improved aesthetics and gingival health
- Natural colour blending for seamless results
- Long-term periodontal and structural stability
Key Benefits: This technique preserves natural tooth structure, delivers long-lasting results, and improves patient satisfaction—without the need for invasive procedures.
Conclusion
The Bioclear Method, combined with injection-moulded composite techniques, provides a revolutionary, minimally invasive solution to black triangle closures. Dentists seeking modern, predictable, and conservative restorative options should consider integrating Bioclear into their practice.
Download the full article: Click here to download (PDF)