Bioclear Black Triangle Certification Course - Sat 11th October 2025
Bioclear Black Triangle Certification Course - Sat 11th October 2025
Price | £725+vat |
Date |
Saturday 11th October 2025 830am - 5:30pm |
Location |
Bioclear Learning Centre/DHTI, Solihull B91 2HH |
Instructor |
Dr Claire Burgess |
Suitable for | Dentists, Therapists |
CPD |
9 hours |
Delegate no. | 12 |
Notes: |
Lunch and refreshments included |
Course enquiries: support@bioclearmatrix.co.uk
In Association with:
Overview:
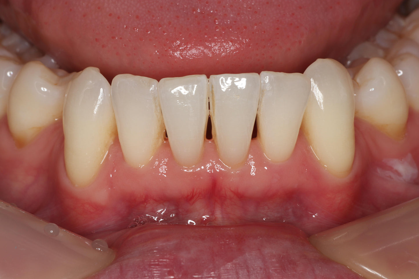
This three-part hands-on certification course will teach you how to treat black triangles, gingival recession, root abrasions, and perform confident restorations. In small interactive classes, the delegates focus on the injection moulding composite technique using 3M™ Scotchbond™ Universal Plus Adhesive and heated 3M™ Filtek™ composite materials and the mirror finish polishing technique when treating black triangles.
In becoming a certified Bioclear black triangle dentist, you’ll increase your overall skill and knowledge of Bioclear and learn to market your new skills to patients.
3 Part Certification:
- 1)Theory (Oral Health Article and Rubber Dam video followed by online “Aesthetic Dilemma Quiz”)
- 2)1 Day Hands-On course
- 3)Submission of 1 upper and 1 lower Black Triangle case
The course utilizes HeatSync heaters, 3M™ Filtek™ composite materials with different sizes of Bioclear Black Triangle Matrices.
Learning Aims, Objectives and anticipated outcomes:
- Learn the five pillars of the Bioclear Method for black triangle restorations
- To have an understanding of Biofilm removal
- Learn the injection moulding technique using warmed/liquified flowable and paste 3M Filtek composite materials
- Create restorations with invisible margins and a mirror-like finish
- Understand how to eliminate bad negative space with additive dentistry
- Learn to rejuvenate the teeth for a youthful appearance
- Combine black triangle treatment with Class V abrasions with the root overlay.
GDC Development Outcomes:
A: Improving understanding of direct composite treatment options for patients with Black Triangles
B: Improved diagnosis and treatment of Black Triangles with direct composite dentistry
C: Current concepts in direct composite restorations
Concepts of the Bioclear Method
Concepts of Biofilm removal
Concepts of Monolithic composite restorations
D: Essential knowledge for predictable black triangle direct composite restorations





- Clinical Technique
- Video
Link to Dental Updates Black Triangle article 2023
